Figure 8

Identification, Molecular Confirmation, and Antibiotic Sensitivity of Bacteria Isolated from Repeat Breeder Cows in Rangpur Division

Mst. Mousumi Afroj, Md Faruk Islam, Muhammad Mamunur Roshid, Md Shanto Hossain, Md Samiul Tousif, Omiaya Azam Oishi, Subroto Sarma and Begum Fatema Zohara*

Published: 10 October, 2025 | Volume 9 - Issue 1 | Pages: 008-17

ivs-aid1047-g008

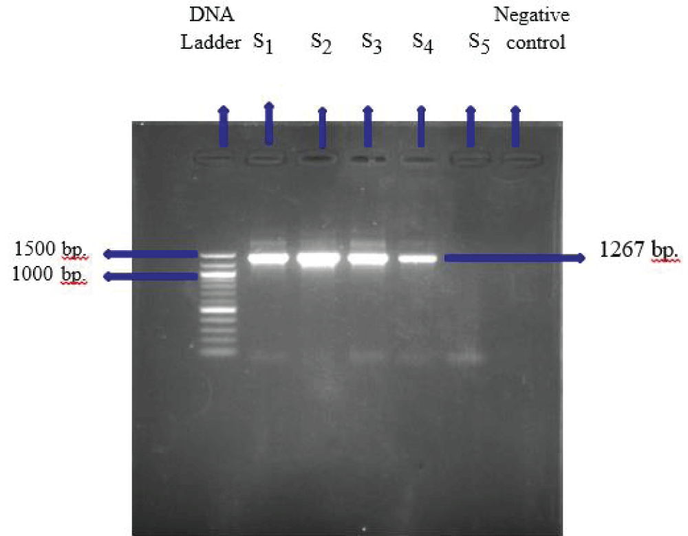
Figure 8:

PCR amplification of Staphylococcus aureus. Well 1 contains a DNA ladder, wells 2-6 contain different samples, and well 7 contains a negative control. Staphylococcus aureus DNA is shown at 232 bp. 100 bp. A ladder was used.

Read Full Article HTML DOI: 10.29328/journal.ivs.1001047 Cite this Article Read Full Article PDF

More Images

Similar Articles

Recently Viewed

  • Unveiling Disparities in WHO Grade II Glioma Care among Physicians in Middle East and North African (MENA) Countries: A Multidisciplinary Survey
    Fatimah M Kaabi, Layth Mula-Hussain*, Shakir Al-Shakir, Sultan Alsaiari, Leonidas Chelis, Renda AlHabib, Sara Owaidah, Renad Subaie, Marwah M Abdulkader and Ibrahim Alotain Fatimah M Kaabi,Layth Mula-Hussain*,Shakir Al-Shakir,Sultan Alsaiari,Leonidas Chelis,Renda AlHabib,Sara Owaidah,Renad Subaie,Marwah M Abdulkader,Ibrahim Alotain. Unveiling Disparities in WHO Grade II Glioma Care among Physicians in Middle East and North African (MENA) Countries: A Multidisciplinary Survey. Arch Cancer Sci Ther. 2026: doi: 10.29328/journal.acst.1001048; 10: 001-005
  • Obstructive Pyelonephritis Due to Postoperative Ureteral Stricture: A Case Report
    Ayoub Mamad*, Mohammed Amine Elafari, Mohammed Amine Bibat, Midaoui Moncef, Amine Slaoui, Tarik Karmouni, Abdelatif Koutani and Khalid Elkhader Ayoub Mamad*,Mohammed Amine Elafari,Mohammed Amine Bibat,Midaoui Moncef,Amine Slaoui,Tarik Karmouni,Abdelatif Koutani,Khalid Elkhader. Obstructive Pyelonephritis Due to Postoperative Ureteral Stricture: A Case Report. J Clin Med Exp Images. 2026: doi: 10.29328/journal.jcmei.1001039; 10: 003-005
  • Febrile Lumbar Pain Revealing a Massive Collection: Complicated Psoas Abscess Managed Surgically
    Mohammed Amine Elafari*, Mamad Ayoub, Mohammed Amine Bibat, Rhayour Anas, Maachi Youssef, Amine Slaoui, Tarik Karmouni, Abdelatif Koutani and Khalid Elkhader Mohammed Amine Elafari*,Mamad Ayoub,Mohammed Amine Bibat,Rhayour Anas,Maachi Youssef,Amine Slaoui,Tarik Karmouni,Abdelatif Koutani,Khalid Elkhader. Febrile Lumbar Pain Revealing a Massive Collection: Complicated Psoas Abscess Managed Surgically. J Clin Med Exp Images. 2026: doi: 10.29328/journal.jcmei.1001041; 10: 010-012
  • Bilateral Severe Encrustation of Long-Term Indwelling Double-J Stents in a Young Non-Lithiasic Patient
    Mohammed Amine Elafari*, Mamad Ayoub, Mohammed Amine Bibat, Maachi Youssef, Amine Slaoui, Tarik Karmouni, Abdelatif Koutani and Khalid Elkhader Mohammed Amine Elafari*,Mamad Ayoub,Mohammed Amine Bibat,Maachi Youssef,Amine Slaoui,Tarik Karmouni,Abdelatif Koutani,Khalid Elkhader. Bilateral Severe Encrustation of Long-Term Indwelling Double-J Stents in a Young Non-Lithiasic Patient. J Clin Med Exp Images. -0001: doi: 10.29328/journal.jcmei.1001042; 10: 013-015
  • Looking Beyond Common Causes of Renal Dysfunction: Renal GVHD and Thrombotic Microangiopathy after Allogeneic Transplant
    Taner Tan*, Ahmet Umur Topcu, Erdem Cig, Dilek Ertoy Baydar and Sinem Civriz Bozdag Taner Tan*,Ahmet Umur Topcu,Erdem Cig,Dilek Ertoy Baydar,Sinem Civriz Bozdag. Looking Beyond Common Causes of Renal Dysfunction: Renal GVHD and Thrombotic Microangiopathy after Allogeneic Transplant. Insights Clin Cell Immunol. 2026: doi: ; 10: 001-003

Read More

Most Viewed

Read More

Help ?